UC researcher develops at-home diagnostic test for endometriosis

Expert's story featured in overseas publication

Katherine Burns, PhD, has been suffering from endometriosis, an often painful, chronic condition, since childhood. 

Currently, the University of Cincinnati College of Medicine associate professor and director of the Division of Environmental Genetics and Molecular Toxicology in the Department of Environmental and Public Health Sciences works in her faculty research lab studying the development of endometriosis.

Burns has created a non-invasive diagnostic test that can be used in the comfort of one’s home.

As she recently told Happiest Health based in India, Burns has suffered from the condition since she was about 11 — but did not get it diagnosed until her 20s. She had to visit several doctors and wait for a decade for an endometriosis diagnosis.

Endometriosis is a condition in which tissue similar to the endometrium (lining of the uterus) grows outside of the uterus. It can cause debilitating pain and can even potentially lead to infertility. Diagnosis of the condition is often delayed.

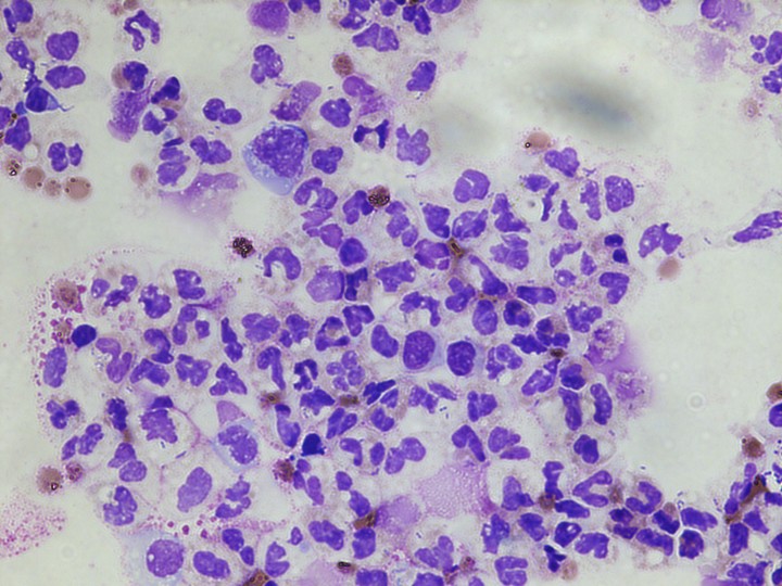
Surgical procedures are currently used to diagnose endometriosis, but the Burns Lab has developed a non-invasive diagnostic test that collects menstrual fluid for analysis.

“By looking specifically at the immune cells in menstrual fluid, we were able to physiologically and morphologically find stark differences in the cells in women with endometriosis compared to healthy women,” said Burns.

Several women who suffer from the condition donated their menstrual fluid for the lab’s research. 

“They show that there are specific phenotypes and sub-populations of cells in the menstrual fluid of women with endometriosis that are different from healthy women," said Burns.

Read how Burns plans to expand her research cohort.

Featured image at top: Menstrual fluid under a microscope. Photo/Provided by Burns Lab.

Related Stories

1

Sugar overload killing hearts

November 10, 2025

Two in five people will be told they have diabetes during their lifetime. And people who have diabetes are twice as likely to develop heart disease. One of the deadliest dangers? Diabetic cardiomyopathy. But groundbreaking University of Cincinnati research hopes to stop and even reverse the damage before it’s too late.

2

Is going nuclear the solution to Ohio’s energy costs?

November 10, 2025

The Ohio Capital Journal recently reported that as energy prices continue to climb, economists are weighing the benefits of going nuclear to curb costs. The publication dove into a Scioto Analysis survey of 18 economists to weigh the pros and cons of nuclear energy. One economist featured was Iryna Topolyan, PhD, professor of economics at the Carl H. Lindner College of Business.

3

App turns smartwatch into detector of structural heart disease

November 10, 2025

An app that uses an AI model to read a single-lead ECG from a smartwatch can detect structural heart disease, researchers reported at the 2025 Scientific Sessions of the American Heart Association. Although the technology requires further validation, researchers said it could help improve the identification of patients with heart failure, valvular conditions and left ventricular hypertrophy before they become symptomatic, which could improve the prognosis for people with these conditions.