Reuters Health: RF ablation could be option for some thyroid cancers
Radiofrequency ablation (RFA), a minimally invasive treatment, could be a safe and effective treatment for low-risk thyroid cancers, according to a new study.
RFA is an alternative to surgery where a small needle elctrode is inserted into a nodule using ultrasound guidance. Heat generated at the needle tip can destroy target tissue, in this case low-risk papillary microcarcinomas of the thyroid.
Tammy Holm, MD, PhD, assistant professor of surgery in the University of Cincinnati College of Medicine's Department of Surgical Oncology and Department of Cancer Biology and a UC Health thyroid cancer surgeon and specialist, reviewed the recent study for Reuters Health and said RFA presents a great opportunity to scale down treatment from an operating room to an outpatient doctor's office visit with similar outcomes.
"RFA is potentially an incredibly valuable tool for the management of thyroid cancer and a skill that endocrine surgeons must develop in order to provide the best possible care for their patients with both benign and malignant disease," Holm said. "Large-scale prospective studies looking to establish the efficacy of RFA as an alternative or even adjunct to surgery will be valuable moving forward."
Read the Reuters Health article.
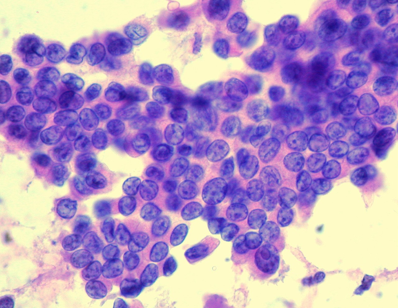
Featured photo at top of papillary carcinoma of the thyroid by Ed Uthman/Creative Commons.
Related Stories
Sugar overload killing hearts
November 10, 2025
Two in five people will be told they have diabetes during their lifetime. And people who have diabetes are twice as likely to develop heart disease. One of the deadliest dangers? Diabetic cardiomyopathy. But groundbreaking University of Cincinnati research hopes to stop and even reverse the damage before it’s too late.
Is going nuclear the solution to Ohio’s energy costs?
November 10, 2025
The Ohio Capital Journal recently reported that as energy prices continue to climb, economists are weighing the benefits of going nuclear to curb costs. The publication dove into a Scioto Analysis survey of 18 economists to weigh the pros and cons of nuclear energy. One economist featured was Iryna Topolyan, PhD, professor of economics at the Carl H. Lindner College of Business.
App turns smartwatch into detector of structural heart disease
November 10, 2025
An app that uses an AI model to read a single-lead ECG from a smartwatch can detect structural heart disease, researchers reported at the 2025 Scientific Sessions of the American Heart Association. Although the technology requires further validation, researchers said it could help improve the identification of patients with heart failure, valvular conditions and left ventricular hypertrophy before they become symptomatic, which could improve the prognosis for people with these conditions.